Fig. 2

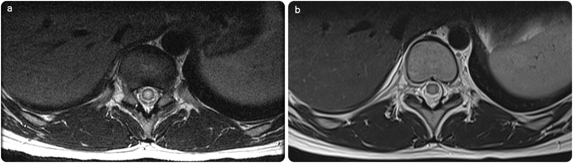
a Initial axial T2 of the dorsolumbar spine shows intramedullary expansion with T2 hyperintensity. b Significant regression in the follow-up image post-praziquantel treatment, with normalizing signal of the spinal cord

a Initial axial T2 of the dorsolumbar spine shows intramedullary expansion with T2 hyperintensity. b Significant regression in the follow-up image post-praziquantel treatment, with normalizing signal of the spinal cord